禁忌内容或者注意事项详见说明书
S9
触摸惊奇 遍行天下
S9便携式彩色多普勒超声诊断仪是美狮贵宾会官网研发的高端便携彩超设备,外观设计新颖、产品性能卓越。S9在便携超声领域采用了突破传统的触摸屏交互设计,并以先进的软件硬件技术和设计理念,为您带来清晰的图像质量、稳定的工作性能和便捷的操作体验。
成像技术
VIS平台设计
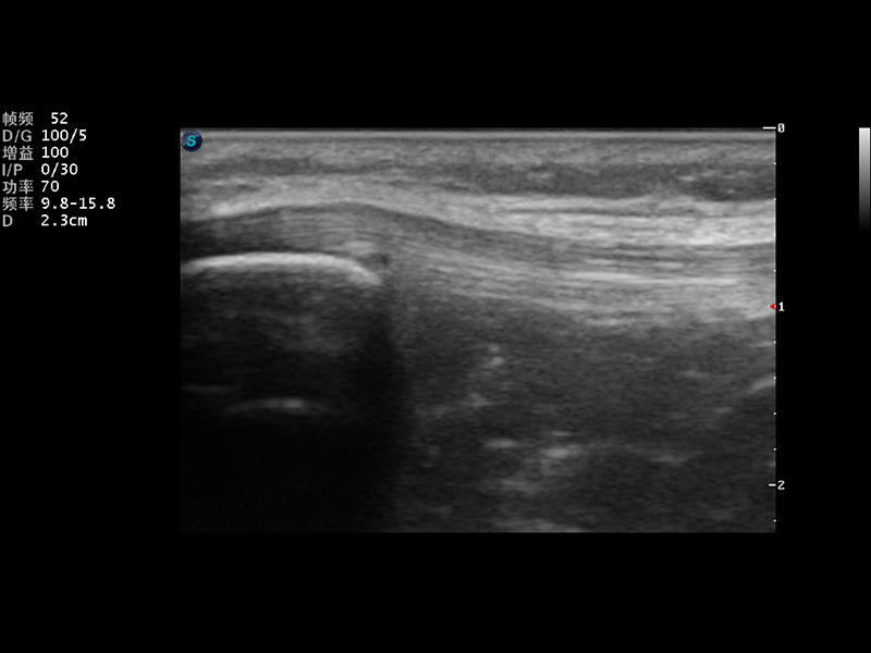
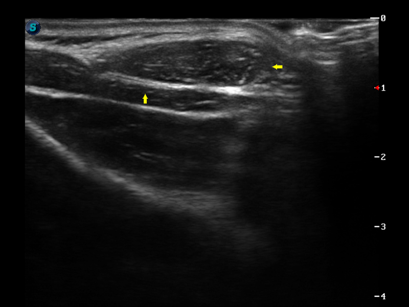
μ-Scan微米成像
脉冲反相谐波成像
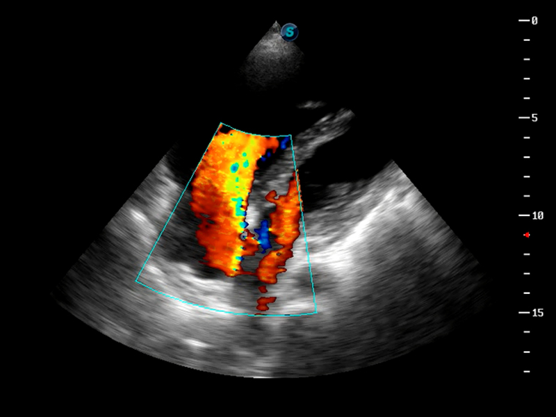
TDI组织多普勒成像
AutoC智能血流追踪
3D/4D成像
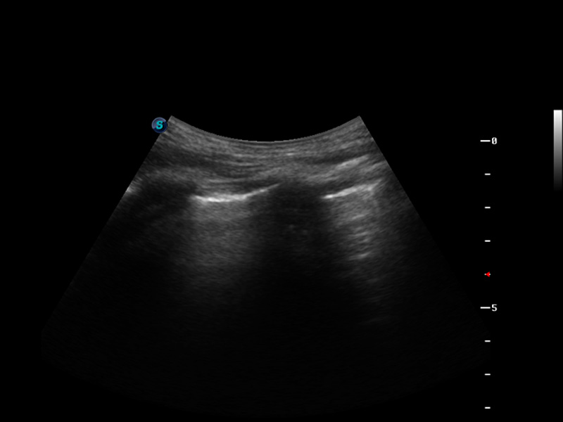
实时宽景成像
造影成像
弹性成像
人机交互
彩色液晶触摸屏控制板
双探头接口
多功能专业台车
广告
